Bemutatkozás Miben más?

Dr. Pávics László parodontológus

Fogorvosi diplomámat, valamint parodontológus szakképesítésemet a Szegedi Tudományegyetemen szereztem. A klinikán töltött éveim alatt, elsajátíthattam az íny és fogágybetegség kezelési módszereit, továbbá betekintést kaptam a legkorszerűbb ínyplasztikai, csontpótlási és implantológiai eljárások alkalmazásában. Kezeléseim során kiemelten fontosnak tartom a fogmegtartást, illetve az ehhez szükséges alapvető szájhigiénés technikák bemutatását. Munkám során mindig maximális precizitásra törekszem kompromisszumok nélkül, időt és energiát nem spórolva. Célom, hogy pácienseimnek személyre szabott, egyedi igényeiknek legmegfelelőbb kezelést tudjak nyújtani.

8200 Veszprém Bajcsy-Zsilinszky Endre u. 8.

+ 36 20 520 0336

Töltse ki az alábbi űrlapot, hamarosan keresni fogjuk Önt!
Üzenetét megkaptuk, hamarosan válaszolni fogunk Önnek, köszönjük!
Hiba történt! Próbálkozzon az oldal újratöltésével, és küldje el újra az űrlapot!
  • portfolio
    Jobb felső kismetsző régi tömése zavarta pácienst
  • portfolio
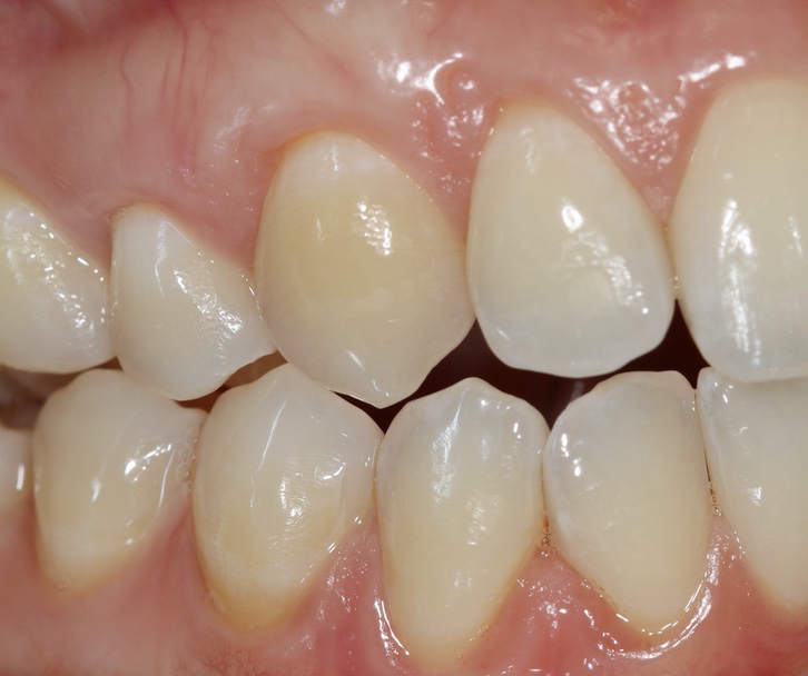
    Végső állapot új esztétikus töméssel
  • portfolio
    ínyrecesszió kezelése felső metszőfogaknál
  • portfolio
    Sebészi terápiát követő gyógyult állapot
  • portfolio
    Kisörlő fogat érintő, mély szuvasság eltávolítása utáni állapot
  • portfolio
    Az elkészült anatómikus és esztétikus kompozit tömés
  • portfolio
    Fogszabályzó kezelést követően kialakult ínyvisszahúzódás
  • portfolio
    Ínyvisszahúzódás sebészi korrekciója utáni állapot