Íny és fogágybetegség kezelése

A fogágybetegségben szenvedő páciensek kezelése összetett feladat. Az első találkozás alkalmával betegség súlyosságát, a talált elváltozás esetleges okait vizsgáljuk meg. Számos esetben a páciensek a betegség előrehaladott stádiumában kerülnek szakemberhez, ezért a fogágy tisztítását megelőzően, vagy azzal egy időben szükségessé válhat a már reménytelen fogak eltávolítása. Ilyen esetekben ideiglenes pótlással állítjuk helyre az esztétikát és rágófunkciót.

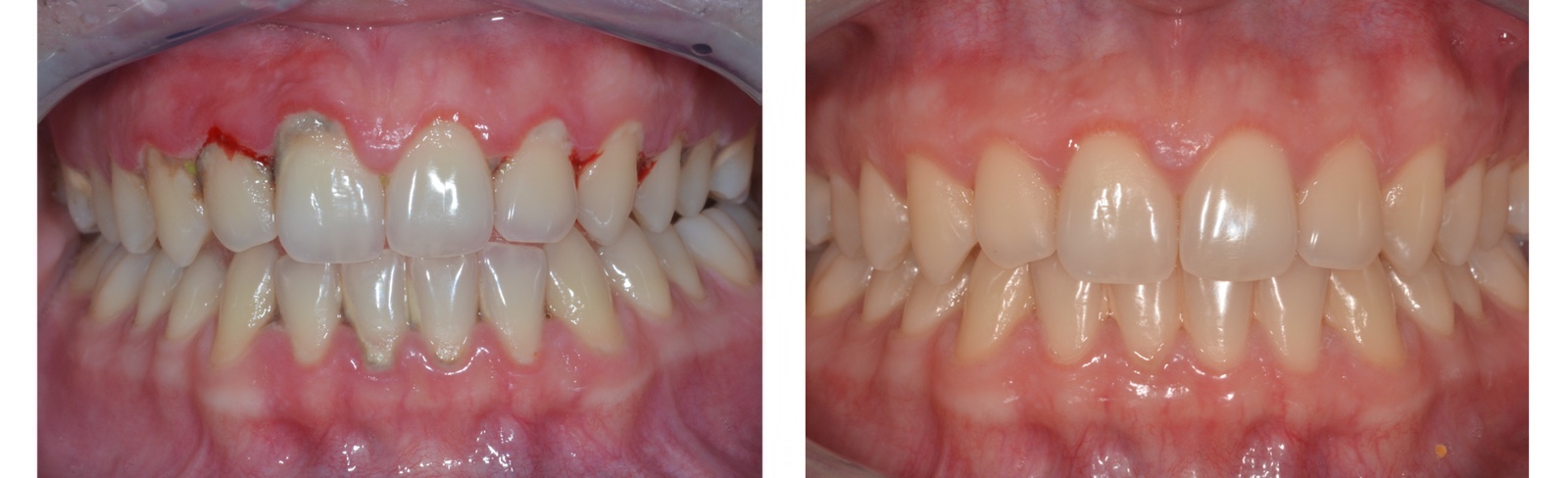
Krónikusan gyulladt, vérző íny kezelés előtt
Parodontális kezelést követő állapot


JELLEMZŐ PANASZOK

  • ínyvérzés,
  • ínyduzzanat
  • fogmozgathatóság,
  • szájszag,
  • fogközök résessé válása.

A szájüregi tüneteken túl, a fogágybetegség hatással van a szervezet más területeire is. Ma már több klinikai tanulmány kimutatta hogy a fogágybetegség fontos szerepet játszik a miokardiális infarktus kialakulásában, cukorbetegségben, valamint alacsony születési súlyt, és koraszülést eredményezhet.

Kezelés

  • Szájhigiénés oktatás
  • Fogkőeltávolítás
  • Rossz, pontatlan tömések, koronák cseréje
  • Sínezés
  • Zárt kürettálás
  • Nyitott kürettálás

Megelőzés

A rendszeres, íny és a csont állapotára is kiterjedő fogászati szűréssel meg lehet előzni a nagyobb bajt. Mégis sokan későn keresik fel a fogorvost, pedig ha idejében diagnosztizálásra kerül, számtalan lehetőség kínálkozik az instabillá vált fogak megmentésére.

Ínyplasztikai sebészet

A szájüregi plasztikai sebészet alatt az ínyvisszahúzódások kezelését értjük. Ez az elváltozás esztétikailag kedvezőtlenül hat, és az érzékeny fognyak mellett nehezítik a megfelelő otthoni szájhigiénét, ami fogszuvasodáshoz vezethet.

Esetenként szükséges a fogak körüli csont, és ínytöbblet eltávolítása, úgynevezett koronahosszabbítás. Ez történhet esztétikai megfontolásból, illetve mély szuvasság esetén ha nincs elegendő foganyag egy tömés, korona vagy hídpótlás elkészítéséhez.

További cél lehet az implantátumok és fogpótlások körüli lágyrészek minőségi és mennyiségi növelése, a hosszútávú gyulladásmentes állapot fenntartása érdekében.

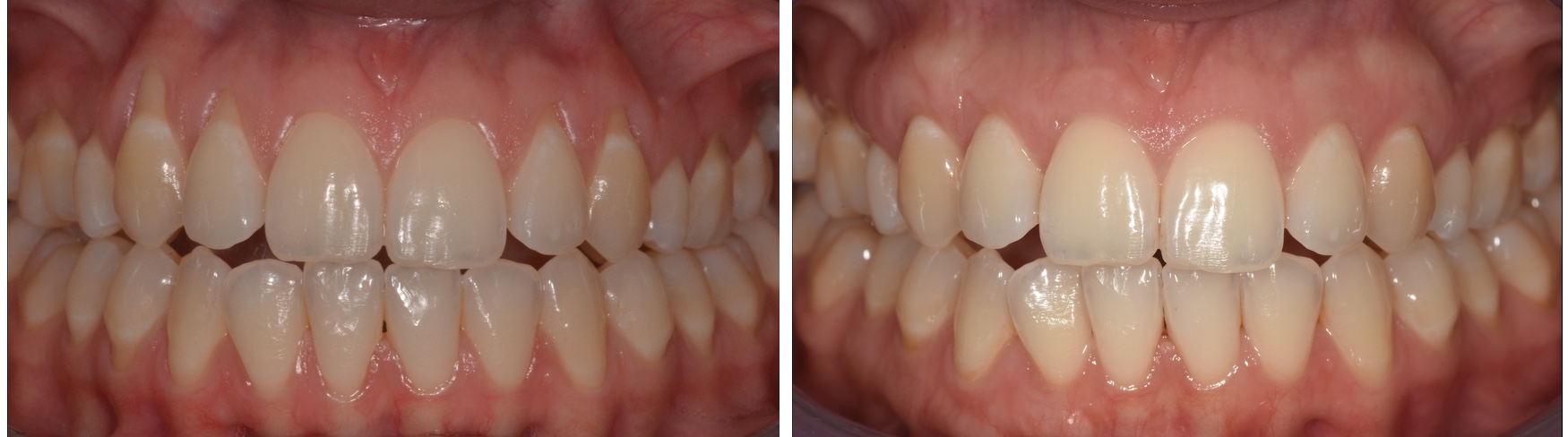
Ínyvisszahúzódás klinikai képe
Sebészeti beavatkozás eredménye